Dental
Hollywood Smile

 
Hollywood Smile is a total makeover of your smile, İt is a complete prosthetic reconstruction of both jaws using crowns, veneers and, quite often, implants. Hollywood Smile involves placing dental crowns on all teeth, or at least on all visible teeth in both jaws.

Hollywood smile includes various dentistry procedures to achieve the perfect aesthetic depending on the person’s current dental condition. In general, some common procedures used in Hollywood smile can be listed as follows:

  • Teeth whitening
  • Laminated veneer
  • Tooth crowns
  • Filling
  • Dental implant
Sensitivity
Stay in Istanbul
Result

Zirconia Crown

 

It is a natural material that is tissue-compatible, does not cause allergic reactions, is highly durable, provides color integrity, eliminates hot-cold sensitivity.

We go for this technique when the patient has at least half of his/her teeth in a good healthy condition, with the other half having a healthy root and enough bulk to mount them with crowns. In a one or two teeth missing space , a bridge may be placed without major complications, but if there are more teeth missing, then we have to place implants, which serve as a preparatory procedure for a more complicated piece of prosthetic work.

What are the benefts of the zirconia crown?

  • The zirconium crown looks natural and is highly resistant to abrasions.
  • Its color doesn’t change over time
  • It’s metal free, it doesn’t provoque allergy and the patient doesn’t feel the metal taste in the mouth.
  • High light transmittance which makes the teeth look more natural.
  • Completely compatible with gums
  • Plaque formation is not observed
  • No temperature sensitivity. İt doesn’t create discomfort when consuming hot or cold meals/drinks.

How Long Will a Zirconia Crown Last?

Most dental crowns last between five and fifteen years when treated with care. Their longevity will depend on your oral hygiene. Practices that can reduce your zirconia crown’s life expectancy include:

  • Opening packages with your teeth
  • Biting your nails
  • Bad hygiene
  • Chewing ice

Hollywood smile with E-Max crowns

This special crown material called lithium disilicate (known as E-max) is generally considered among the best solutions in restorative dentistry. The E-Max crowns have an all-ceramic composition based on lithium disilicate glass, which is more aesthetically pleasing and durable than other types of crown materials.

Zirconia crowns Versus E-Max crowns

When the matter is related to strength, both E-max and Zirconia Crowns are durable materials.

Zirconium crowns are highly prized for their long-lasting durability. Compared to E-max’s lithium disilicate, zirconium is more opaque. Therefore, dentists recommend zirconium crowns for back teeth for biting and chewing. 

Hollywood smile with veneers

Dental veneers are shells that fit over the front surfaces of your teeth. Porcelain dental veneers are ideal for someone who has healthy teeth and gums but wants to enhance one’s smile, Thus venners can help covering imperfections like cracks, stains and other cosmetic imperfections.

Porcelain Veneers are stain-resistant and are used to:

  • Close gaps between teeth
  • Correct misalignment of teeth
  • Cover chipped teeth
  • Correct permanent staining of teeth due to defects in the enamel that cannot be removed using whitening procedures

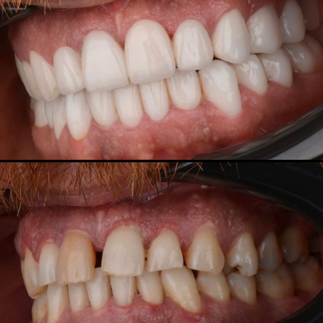
Before & after
MEN

50
52
44
45
46
47
16
2
54
14
24
43
20
7
18
19
12
22

Before & after
WOMEN

1
4
5
40
48
53
27
9
10
8
21
15
17
23
26
41
42
11
51

VIP Service

All inclusive package:
If you decide to undergo a Hollywood Smile in our clinic, you need 7 overnights stay in İstanbul. Once we agree upon the suitable dates, We set up the whole process including transportation from and to the airport, accommodation, surgery and aftercare.

- Dental treatment
- Panoramic X-ray
- 7 nights accomodation in Istanbul
- VIP all-round transfer service
- Consultation with the dentist
- Medicines
- Post surgery control
- Personel assistent speaking your own language

Get In Touch With Us

Call us
+90 535 569 51 64 English
+90 535 569 51 64 French
+90 535 569 51 64 Arabic
+90 535 569 71 84 Dutch
+90 535 569 71 84 Turkish
+90 535 610 27 84 Romanian
Email us
info@deluxeclinicistanbul.com

Book An Appointment

The cost of this surgery depends on the areas to be treated. You can contact us and get an online consultation.

    Copyright 2016 by DCI. All rights reserved.

    No menus found.